
La catarata es la opacidad del lente intraocular natural llamado cristalino, el cual es normalmente transparente actuando como un lente de una cámara, enfocando la luz en la retina.
Hasta la edad aproximada de 45 años el cristalino es capaz de cambiar de forma para llevar a un enfoque de un objeto cercano o lejano.
A medida que envejecemos las proteínas del cristalino comienzan a degenerarse y este se torna opaco, llevando a una visión borrosa progresiva.
Los principales factores de riesgo para el desarrollo de cataratas con la edad avanzada, la diabetes, golpes en los ojos, el uso prolongado de esteroides por vía oral, el tabaquismo, la exposición a la luz solar, entre otras.
Los principales síntomas son visión borrosa o nublada, dificultad para ver en la noche o con luz tenue, deslumbramientos y dificultad para distinguir los colores.
El único tratamiento para la catarata es la cirugía ocular, extrayendo el cristalino opaco e implantado un lente intraocular artificial; está indicada cuando la persona ya no puede realizar sus actividades cotidianas como conducir, leer, ver computadora o desplazarse con seguridad.

Existen diferentes tipos de lentes intraoculares como mono focales que solo corrigen la visión lejana y los multifocales que corrigen tanto la lejana como la cercana.

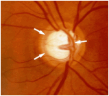
El glaucoma es una de las enfermedades oculares en la cual hay una lesión progresiva del nervio óptico, es decir el nervio que une el cerebro con el ojo, principalmente asociada al aumento de la presión intraocular, la cual va lesionando lenta y silenciosamente el nervio produciendo un daño progresivo del campo visual. Cuanto mayor sea la presión ocular el daño es mayor llevando a una ceguera irreversible, entre más temprano el glaucoma sea detectado y tratado por un oftalmólogo, mejor el pronóstico visual.

¿Qué causa el glaucoma?
Dentro del ojo existe un líquido transparente llamado humor acuoso el cual se produce dentro del ojo y se evacua del ojo por un sistema de drenaje, el cual comienza a obstruirse y el liquido no encuentra una vía de salida, produciendo el aumento de la presión intraocular.

Existen varios tipos de glaucoma, los principales factores de riesgo son la edad avanzada, el aumento de la presión intraocular, la diabetes, la historia familiar de glaucoma, la miopía y la raza negra.
¿Cómo se trata el glaucoma?
El glaucoma es una enfermedad incurable pero es controlable, los daños causados por glaucoma son irreversibles. La mayoría de glaucomas se controlan con gotas tópicas pero a veces se requiere de cirugía para el control de la presión intraocular.
La revisión periódica con un oftalmólogo puede prevenir la ceguera causada por esta enfermedad.

El pterigión consiste en un crecimiento anormal del tejido conjuntival sobre la córnea (superficie anterior y transparente del ojo). Este tejido anómalo se inflama con facilidad ante la exposición solar, el viento u otros agentes irritantes. Quien lo padece tiene la sensación de tener un cuerpo extraño en el ojo y éste tiene una apariencia congestiva (ojo rojo).
Se desconoce la causa exacta del pterigión. Los factores más comunes que contribuyen al pterigión incluyen:
La forma más fácil de prevenir el pterigion es con la protección solar que brindan las gafas con filtro ultravioleta, junto con el uso de gorra o sombrero. El uso de lubricantes oculares en gotas o gel para personas expuestas a temperaturas o ambientes irritantes también es recomendado.
No existe tratamiento médico que haga desaparecer dicho tejido; sin embargo el uso de lubricantes oculares puede disminuir la sensación de cuerpo extraño del paciente y en cierta forma evitar que el pterigión aumente de tamaño. Cuando el pterigión produce molestias al paciente como irritación crónica, ardor, dolor o aumento de tamaño hasta ocupar la zona pupilar impidiendo la visión, es necesario recurrir a la cirugía.

El queratocono es una enfermedad de la córnea la cual causa mala visión de forma progresiva.
Durante la evolución del queratocono nuestra córnea adopta una forma cónica irregular debido a la alteración de su estructura interna.
La estructura interna de la córnea contiene fibras de colageno, el colágeno es una proteína de forma alargada, la alteración de esta proteína en el interior de nuestra cornea es la causa principal del desarrollo del queratocono.
La causa por la cual se origina el queratocono se desconoce, en ocasiones es hereditaria aunque muchos pacientes con queratocono no tienen antecedentes familiares de esta enfermedad.
Pequeños traumatismos persistentes en el tiempo los cuales puedan dañar la estructura de la córnea también pueden desencadenar el queratocono, por ejemplo frotarse los ojos continuamente.
Los principales síntomas anatómicos del queratocono son el adelgazamiento de la córnea en su zona central o paracentral, la córnea se vuelve más fina conforme se va desarrollando el queratocono, y una continua elevación de esta zona, que provoca cada vez peor visión a medida que el queratocono avanza.

El queratocono se puede corregir con gafas, lentes de contacto rigidos, anillos o segmentos intracorneales, crosslinking y transplante de córnea en su fase final.
Se conoce como ojo seco (o síndrome de ojo seco) cuando existe escasez o falta de lágrima. Es la enfermedad ocular más frecuente, ya que la mayoría de los ojos irritables se producen por ojos secos.
La lágrima es una parte fundamental para el buen funcionamiento del ojo y se compone de 3 diferentes capas, cada una con una función diferente, y hay diferentes patologías que afectan una o varias capas llevando a ojo seco.

El síndrome del ojo seco generalmente se presenta en personas que por lo demás son saludables y es más común en personas mayores (principalmente mujeres después de la menopausia), dado que se producen menos lágrimas con el paso de los años. En algunos casos puede estar asociado con artritis reumatoide o lupus eritematoso (síndrome de Sjögren) y otros trastornos similares. Igualmente puede ser causado por quemaduras químicas o térmicas; también por deficiencia de vitamina A. Además se puede manifestar más en las personas que usan lentes de contacto.
Los síntomas más comunes son ardor, enrojecimiento crónico, escozor, lagrimeo, baja visual y la formación de moco.
El remplazo de las lágrimas naturales con lágrimas artificiales es la base del tratamiento (generalmente por tiempo prolongado), pero a veces se requieren procedimientos como la oclusión de los puntos lagrimales.
LA RETINALa retina es la capa que rodea toda la parte interna del globo ocular y es la parte principal del ojo, es la zona donde llegan los estímulos luminosos y son enviados por medio del nervio óptico al cerebro para la formación de las imágenes y de la visión.
LA MACULA
La macula es el área central de la retina, la cual usamos para la visión fina, para leer, para ver los colores y la visión central.
EL VITREO
El vitreo un líquido viscoso transparente que rellena la parte interna del globo ocular.

Las principales enfermedades que se presentan en la retina, la macula y el vitreo son las siguientes:

La retinopatía diabética es la principal causa de ceguera en México, debido a que la diabetes produce daño de los vasos sanguíneos, produciendo inflamación de la macula, hemorragias y el desprendimiento de retina llevando a la ceguera.
Todos los pacientes diabéticos tienen que hacerse una revisión del fondo del ojo mínimo una vez al año.

El desprendimiento de retina es un problema muy serio el cual se presenta generalmente en adultos mayores de edad media o avanzada, en personas que presentan miopía alta o antecedentes familiares de este problema.
Un fuerte golpe en el ojo puede provocar un desprendimiento, y en personas que presentan agujeros periféricos en la retina. También la retinopatía diabética puede provocarlo al igual que otras enfermedades inflamatorias.

La degeneración macular asociada a la edad es una enfermedad que afecta la visión central, el daño es en la macula. Las personas refieren disminución de la agudeza visual con incapacidad de realizar actividades cotidianas como conducir o leer. Se presenta generalmente en personas mayores de 65 años, en donde se forma una membrana con vasos sanguíneos por debajo de la macula.

Las trombosis u oclusiones vasculares de la retina se presentan principalmente en personas mayores de 50 años, especialmente aquellas con hipertensión arterial, diabetes o alguna enfermedad cardiovascular; esta obstrucción arterial o venosa lleva a gran disminución de la visión y se requiere un tratamiento oportuno para evitar la ceguera.

La vía lagrimal consiste en unos conductos que inician en la parte interna de los parpados por medio de los puntos lagrimales, siguen por unos canalículos formando un saco lagrimal y desemboca a la nariz por medio del conducto nasolagrimal.
La principal patología de la vía lagrimal es la obstrucción, la cual puede ser de origen congénito o adquirido en la vida adulta.
Cuando se presenta al nacer (dacrioestenosis congénita) es debido a la malformación de la vía lagrimal, lo que produce en los infantes abundante secreción por infección de la vía y lagrimeo al momento de nacer o a los pocos meses de vida. Generalmente con masajes y el uso de antibióticos tópicos se soluciona pero a veces necesita de sondeos o cirugía.

En los adultos se presenta con un lagrimeo muy molesto del lado afectado y frecuentemente se asocia a infección del saco lagrimal (dacriocistitis); y cursa con mucho dolor e inflamación, y puede convertirse en un problema crónico. Puede asociarse a infecciones crónicas como sinusitis y a traumatismo o cirugía de la nariz. El tratamiento en los adultos requiere manejo de la infección con antibióticos y antiinflamatorios pero en muchos casos la cirugía es la solución final.

El estrabismo es la desviación del alineamiento de un ojo con respecto al otro, impidiendo la visión binocular. Esto imposibilita fijar la mirada de ambos ojos al mismo punto del espacio, lo que ocasiona una visión binocular incorrecta que puede afectar adversamente a la percepción de la profundidad.
Cuando el estrabismo es congénito o se desarrolla durante la infancia, puede causar ambliopía, patología en la cual no existe un correcto desarrollo sensorial y neurológico de las zonas cerebrales responsables de la visión, motivo por el cual, cuando se llega a la edad adulta y pese a corregirse la patología que dio origen a la ambliopía, la visión con el ojo ambliope es insuficiente, no pudiendo ser corregida con tratamiento alguno.
La ambliopía es reversible durante la infancia temprana con medidas terapéuticas adecuadas, en el caso del estrabismo suelen ser el tratamiento con parches y eventualmente el uso de lentes.

El estrabismo se puede tratar con cirugía, gafas o prismas ópticos, oclusiones con parches, o ejercicios oculares. Los objetivos con los niños, son lograr un aspecto normal en los ojos, pero con una buena visión en cada ojo (con o sin la corrección óptica), una buena visión binocular y percepción de profundidad.
Si un adulto tiene un estrabismo desde la niñez que no fue tratado, el tratamiento quirúrgico puede ser meramente estético pues la ambliopía ya no se podría corregir.